Скринінг раку молочної залози

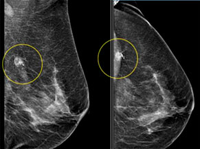
«Золотим» стандартом виявлення ранніх стадій раку молочної залози (carcinoma in situ або T<1) є самообстеження та проведення мамографії.

У центрі «Юліс» жінок навчать засобам самообстеження (огляд, пальпація) та проведуть скринінгові мамографію.

При виявленні підозрілих ділянок досвідчений мамолог проведе консультацію і оцінить необхідність проведення тонкоголкової або cor-біопсії. Результат біопсії стане відомий в той же день.

Що таке аденома простати?

У переважній більшості випадків у жінок виявляють не пухлину, а різні види доброякісних захворювань молочної залози, які об’єднують в загальну групу під назвою мастопатії. Ризик розвитку раку при кожній формі мастопатії різний: при проліферативній мастопатії без атипії ризик підвищується в 1,9 рази, при атиповій гіперплазії – більш ніж в 5 разів.

Прості і складні кісти відносяться до непроліферативних форм мастопатії і не несуть онкогенного потенціалу. При наявності кісти проводиться її пункція, евакуація і цитологічне дослідження вмісту.

До проліферативної мастопатії без атипії відносяться:

Деякі форми доброякісних захворювань молочної залози вимагають хірургічного лікування. Більшість мастопатій успішно лікуються консервативними методами.

Запис на приймання доступний за телефоном:

Ми працюємо

Понеділок-П'ятниця
(08.00 - 17.00)
Субота, Неділя ( вихідний )

Телефононуйте

097 557 03 03
095 557 03 03
073 557 03 03

Адреса

м.Запоріжжя вул. Леоніда Жаботинського, 32

Зворотний зв'язок

Наші партнери

Завдяки тісній співпраці з нашими партнерами наша клініка може надавати дуже великий спектр послуг не лише на власних потужностях, а і на території партнерських центрів. 

Запис на прийом

Буд ласка залиште Ваші контактні данні та в коментарі напишіть які послуги Вам потрібні і ми найближчим часом обов’язкова з Вами зв’яжемося